Calvarial hyperostosis presenting as unilateral exophthalmos in a female English Springer Spaniel
Rachel L. Davis1,2 | Kevin D. Coleman2 | Mary A. G. Radlinsky2 | and Phillip A. Moore2 | Shannon P. Holmes3
Abstract
Purpose
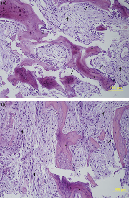
A 4-month-old intact female English Springer Spaniel presented to the University of Georgia Veterinary Teaching Hospital for evaluation of unilateral, progressive exophthalmos oculus sinister (OS) of 2 weeks’ duration. Complete ophthalmic examination revealed moderate OS exophthalmos and lateral globe deviation. No other abnormalities were noted on physical or ophthalmic examination, ocular ultrasound, complete bloodwork, or thoracic radiography. Skull computed tomography (CT) revealed a large, focal, smoothly irregular, cavitated, expansile bony lesion involving the left caudal maxillary and left frontal bones. Biopsies, obtained through a frontal sinusotomy approach to preserve the left globe integrity, demonstrated normal reactive trabecular bone with locally extensive fibrosis. Calvarial hyperostosis was diagnosed based upon appearance on imaging, lesion unilaterality, absence of mandibular involvement, and histopathology. Six months after initial presentation, skull CT was repeated and marked reduction in the degree of frontal bone thickening was demonstrated with complete resolution of cavitations. There was marked clinical improvement with mild, nonpainful exophthalmos, and lateral globe deviation OS on ophthalmic examination. Eleven months after initial presentation, there was complete resolution of the frontal bone lesion with mild thickening of the left calvarial bones on repeat skull CT. There was no exophthalmos or globe deviation present on clinical ophthalmic examination. The proliferative osteopathic lesion was self-resolving with resolution of the exophthalmos and has not recurred to date. To the authors’ knowledge, this is the first report of calvarial hyperostosis in a previously unreported breed presenting as unilateral exophthalmos.
Images
Keywords: calvarial hyperostosis in dogs, juvenile dog skull bone disorder, exophthalmos caused by calvarial hyperostosis, CT findings in canine calvarial hyperostosis, first report of calvarial hyperostosis dog
1,Animal Eye Clinic, Westfield, Indiana, USA
2Department of Small Animal Medicine and Surgery, College of Veterinary Medicine, University of Georgia, Athens, GA, USA
3Department of Radiology, College of Veterinary Medicine, University of Georgia, Athens, GA, USA
Correspondence:
Rachel L. Davis, DVM, MS, Diplomate, ACVO – Ophthalmologist
Animal Eye Clinic
4750 Killarney Drive
Carmel, IN 46033
Email: info@indyaec.com



